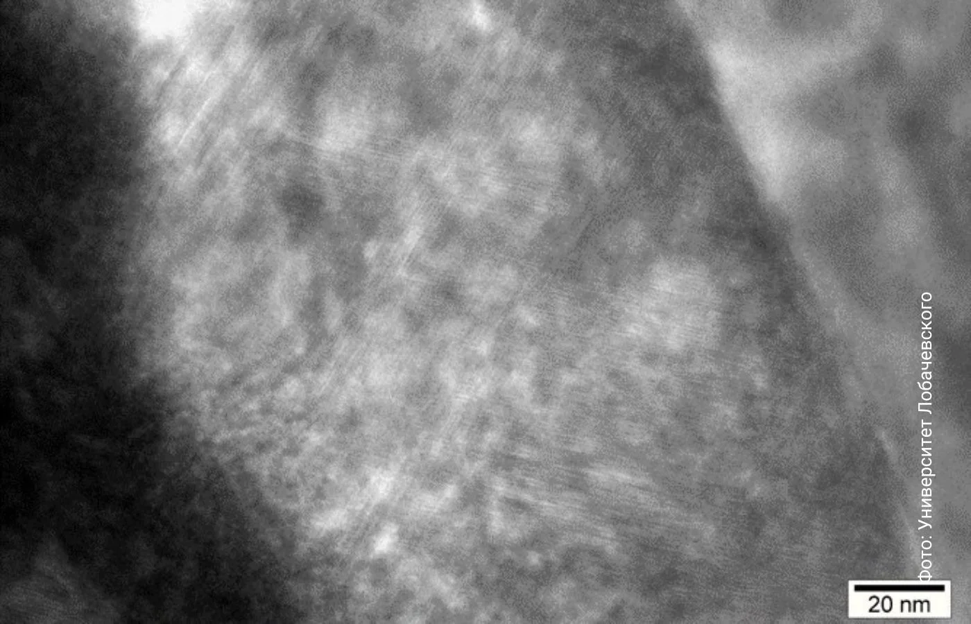
Специалисты Университета Лобачевского создали тонкоплёночный материал на основе кремния в гексагональной фазе, который может значительно улучшить работу транзисторов. Новая разработка позволяет повысить силу тока при более низком напряжении, что ведёт к улучшению параметров ключевых элементов интегральных схем и росту производительности процессоров, сообщается на портале «Десятилетие науки и технологий в России».
Гексагональная структура кремния отличается уникальными свойствами кристаллической решётки, обеспечивающими повышенную проводимость в определённых направлениях. Это даёт возможность усилить токопередачу в электронных компонентах. Однако такие структуры обычно нестабильны и склонны к переходу в привычную форму кремния. Учёным удалось стабилизировать гексагональную фазу, что открывает путь к её использованию в промышленности, отметил Антон Конаков, доцент кафедры квантовых и нейроморфных технологий физического факультета университета.
Создание материала осуществляется путём выращивания плёнки на стандартной кремниевой подложке, поверх которой наносится слой германия. На границе формируется устойчивый и однородный слой гексагонального кремния. Эта технология позволяет производить покрытия, подходящие для масштабных микросхем с множеством контактов. Сейчас исследователи работают над оптимизацией и масштабированием метода для применения в отечественном производстве микроэлектроники.
По словам Николая Кривулина, доцента кафедры физики полупроводников, электроники и наноэлектроники, помимо технологии формирования гексагональной фазы, была создана и запатентована серия оригинальных установок для роста тонких слоёв кремния и германия. Эти решения могут использоваться для производства различных тонкоплёночных структур, востребованных в электронной промышленности.
Гексагональная структура кремния отличается уникальными свойствами кристаллической решётки, обеспечивающими повышенную проводимость в определённых направлениях. Это даёт возможность усилить токопередачу в электронных компонентах. Однако такие структуры обычно нестабильны и склонны к переходу в привычную форму кремния. Учёным удалось стабилизировать гексагональную фазу, что открывает путь к её использованию в промышленности, отметил Антон Конаков, доцент кафедры квантовых и нейроморфных технологий физического факультета университета.
Создание материала осуществляется путём выращивания плёнки на стандартной кремниевой подложке, поверх которой наносится слой германия. На границе формируется устойчивый и однородный слой гексагонального кремния. Эта технология позволяет производить покрытия, подходящие для масштабных микросхем с множеством контактов. Сейчас исследователи работают над оптимизацией и масштабированием метода для применения в отечественном производстве микроэлектроники.
По словам Николая Кривулина, доцента кафедры физики полупроводников, электроники и наноэлектроники, помимо технологии формирования гексагональной фазы, была создана и запатентована серия оригинальных установок для роста тонких слоёв кремния и германия. Эти решения могут использоваться для производства различных тонкоплёночных структур, востребованных в электронной промышленности.